来源:广州中医药大学金沙洲医院 时间:2017-11-07 14:48 点击咨询专家 >>
国际肿瘤热疗中心胡主任、各位医生护士人员:
您们好,我是来自广西南宁遭受肿瘤痛苦折磨的杨XX,您们每天面对的患者那么多,可能你们会忘记我了。但我也要表达对胡主任的谢意,在我住院期间,胡主任妙手神医般用严谨细致科学的治疗让我快速恢复健康的身体,重获幸福。
14年中秋节前夕,我拿到了医院病例检查报告单上面写着病例诊断:肺鳞状细胞癌。顿时用起一股担心、恐惧,那种无以名状的无助感,不知道自己还能活多久,不知道自己能不能治好,会不会头发都掉光,想到这些我整整哭了一夜。
当时我哥是当地人民医院的医生,他并不建议我去做化疗或者放疗,可能是平时看到医院有太多肿瘤患者那么痛苦和脆弱,放化疗后那种不堪一击。叫我要不要去试试广州中医药大学金沙洲国际肿瘤(热疗)中心做热疗试试看。我也上网查了很多资料,无意间发现您们的官方网站。看到了各种“学术会议通知”及“学科动态介绍”,还有很多真实成功的病友故事,我决定了,就去广州国际肿瘤(热疗)中心治疗。
六百公里的距离,抱着忐忑与期待的心情来到了广州国际肿瘤(热疗)中心。一见到胡主任,我觉得他是一个很随和的医生,他不厌其烦地回答我们的问题。重要的是,他会看着我的眼睛回答问题,这是对病人最大的尊重和鼓励。我作为一个敏感的肿瘤病人,受此礼遇,甚为感动。试想,如果每个医生都能学学胡主任,看着病人的眼睛回答问题,那么你能从病人的眼神里读出对你的信任,读出对生命的渴求。
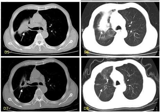
胡主任经过举行国际专家会诊后为我确定了治疗方案,建议采用微创介入联合热疗治疗。这是一趟非常轻松的治疗,并没有我想象中的血腥以及痛苦,做热疗最大的感觉的就是好热,并没有什么不舒服的地方。一开始我觉得无创或者微创的方法会不会效果比较差。但3个月后的复查真让我和家里人都非常惊喜,肿瘤消失的异常明显,而且平时都跟正常人差不多,没有其他的不适。那一刻,我非常欣喜,我的选择是正确的。感谢哥哥的推荐,也感谢胡主任及照顾过的张护士、肖护士等等的努力奉献与悉心照顾。

(杨小姐的肺癌治疗前后对比)
胡主任曾经说过,肿瘤患者不仅需要治病,更需要“治心”。 胡主任让我的身体重获新生;胡主任的言行让我的心灵重历涤荡。胡主任身上折射出的那种敬业、仁爱、体恤,让我深深震撼。当我在医院的光荣榜上看到胡主任获得“高尚医德奖”,真是不愧殊荣。一年再去广州国际肿瘤(热疗)中心复查时我带了一点点心意给胡主任,他拒绝了,他说:“不用感谢我,你去帮助那些需要帮助的人,就是最好的感谢!”我怔住了,被这句朴实有力的话。
回到家后我写一封感谢信寄给胡主任,当护士长征询能否公开这封感谢信时,我毫不犹豫地答应了,因为我愿意把这些感受与体会向更多的人传递、分享,以此表达对胡主任和广州中医药大学金沙洲国际肿瘤(热疗)中心各位医护人员的感激之情。
电话咨询:020-81116661/020-81116660 专家QQ:1793384282 地址:广州市白云区金沙洲礼传东街1号(地铁6号线横沙站下车)
Copyright © 2016 广州中医药大学金沙洲医院 版权所有 备案号:粤ICP备15031204号-1
注:本网站信息仅供参考,不能作为诊疗及医疗依据,未经授权请勿复制及转载.