来源:广州中医药大学金沙洲医院 时间:2015-03-18 16:09 点击咨询专家 >>
前言: 四年前,何女士因乳房肿块,检查得知不幸患了乳腺癌。2012年10月3日在当地医院做左乳保乳术,情况有所好转。近年来,她常常感到容易疲倦、没有食欲,2013年4月出现干咳,无痰,6月13日经原手术医院拍摄胸片提示双肺转移。王女士在得知自己的病情后,知道癌症转移之后就很难治愈了,于是觉得自己时日不多,因此精神状态特别差,脾气变得暴躁,很少说话,一个人时总是唉声叹气。看到王女士的变化,她的爱人和亲戚朋友都心急如焚。

爱人多方打听,后来,经一位已经在广州中医药大学金沙洲医院肿瘤综合诊疗中心治疗康复的乳腺癌患者推荐下,带着妻子王女士来到广州中医药大学金沙洲医院肿瘤综合诊疗中心接受治疗,与专家面诊后,做详细检查,发现右侧锁骨上前外侧区域可扪及数粒肿大淋巴结,质硬,活动差,余未见异常;血常规,肝肾功能,心电图情况均正常;肿瘤标记物CA125:43.2U/ml(0-35),CEA27.9ng/ml(0-5)。
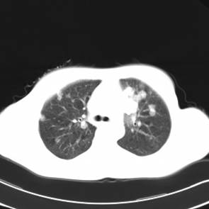
影像学资料

影像学检查:
CT左侧乳腺癌保乳治疗术后,双肺发转移瘤;
右肺中叶炎症;
X光(XXX医院的胸片——双肺转移);
MRI头颅双侧基底节区腔隙性脑梗塞、骨扫描无骨转移。
制定治疗方案
专家针对她的病情,制定了诊疗方案,采用2个疗程“WB-1无创全身热疗系统治疗”, 通过WB-1无创全身热疗系统使患者的体温升至39.5℃~41.5℃,人为的给人体创造“发烧”的环境。而在此温度环境下,怕“热”的癌细胞就会被高热直接杀伤凋亡。因手术等常规手段清除不尽,或者现有技术手段根本无法发现的转移、扩散的癌细胞,尽管漏网之后狡猾的潜藏起来,却依然免不了被WB-1无创全身热疗系统追踪杀灭的命运,此外,WB-1无创全身热疗系统还能激活处于麻痹状态的免疫系统,产生抗肿瘤免疫,抑制和杀灭转移灶或亚临床病灶,从而实现从根源上治疗乳腺癌的目的能够。
复查结果

两个月后患者到医院复查CT发现,双肺发转移瘤明显实现了瘤体萎缩。
治疗好转后的夫妻俩,特地千里迢迢来到广州中医药大学金沙洲医院肿瘤综合诊疗中心感谢专家们。
此患者是广州中医药大学金沙洲医院肿瘤综合诊疗中心治疗乳腺癌转移患者成功病例之一,专家强调乳腺癌转移不可怕,要保持积极乐观的心态,选择正确的疗法,积极配合医生治疗,养成良好的生活习惯,定期到医院检查。乳腺癌转移不同于其它疾病,治疗不当不但会贻误治疗的最佳时机,还可能导致病情加重。因此,乳腺癌治疗一定要到国家正规专业的医院。
电话咨询:020-81116661/020-81116660 专家QQ:1793384282 地址:广州市白云区金沙洲礼传东街1号(地铁6号线横沙站下车)
Copyright © 2016 广州中医药大学金沙洲医院 版权所有 备案号:粤ICP备15031204号-1
注:本网站信息仅供参考,不能作为诊疗及医疗依据,未经授权请勿复制及转载.