来源:广州中医药大学金沙洲医院 时间:2015-03-18 17:00 点击咨询专家 >>

61岁来自澳大利亚的结肠癌患者Echols先生康复了,在他走出广州中医药大学金沙洲医院的时候,还对专家一度哽咽,原本无生存希望的他,在经过医院WB-1无创全身热疗系统后重燃对生活的热爱,更爱惜生命了。
Echols先生的女儿在中国深圳读书,他每年会到深圳住一段时间,探望女儿,顺便到中国旅游。2013年8月,Echols先生无明显诱因开始出现大便习惯改变,每日排便约4-5次,大便性状无改变,无便血,无粘液,一月后出现下腹部疼,为隐痛,无放射痛,大便次数增多,并大便带血,无恶心、呕吐,无发热,无寒战、高热,无皮肤黄染,无胸痛、胸闷,无心慌、心悸,无大小便失禁,无尿频、尿急、尿痛,未系统治疗,为求进一步诊治到院检查,查结肠镜:考虑降结肠乙状结肠交界处癌。确诊为结肠癌。
Echols先生得病以来,精神、睡眠差,饮食差,小便正常,大便次数增多,体重减轻约15斤。
在深圳某家人民医院通过手术治疗切除后1个月,开始伴随周边转移,后用化疗无效,伴随全身转移。Echols先生说:“My daughter and I agreed I needed more than the standard chemo plan I was being offered after my surgery. I needed advanced options and doctors who would be on top of my care. My daughter called the International Cancer Treatment Center at Guangzhou Friendship Hospital for information and we decided it was worth looking into. Within a matter of days, I set out to get a second opinion at Guangzhou Friendship Hospital.”
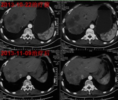
通过WB-1无创全身热疗系统,Echols先生病灶明显减少,绿色无毒,无创伤。随后进行了2个疗程的WB-1无创全身热疗系统治疗,Echols先生胀痛完全缓解,大便恢复正常,精神食欲明显好转,体重增加1公斤,影像检测转移灶减少了8个,肿瘤发展完全被控制,实现了长期的带瘤生存。

专家介绍,晚期肠道肿瘤采用WB-1无创全身热疗系统治疗不仅可以控制病情,还能消除转移灶,大大改善生活质量,延长存活时间。
Echols先生在女儿来接出院之际,老泪纵横地说:“What kept me going through it all was a positive attitude and outstanding support from the International Cancer Treatment Center at Guangzhou Friendship Hospital. During my treatment, my quality of life was fair. Because I received a comprehensive treatment plan, I received therapies that helped me stay strong and manage some of the side effects of the chemo. The nurses in the treatment Center were wonderful and helped me through the treatments. There wasn't a day when they didn't have a smile, a hug or a joke for me. I often refer to them as my hyperthermia angels!”